Breast Cancer IHC Panel: Your Essential Guide

S.Dufferinbot 44 views
Breast Cancer IHC Panel: Your Essential Guide

Breast Cancer IHC Panel: Your Essential Guide

What is an IHC Panel for Breast Cancer?

Alright, guys, let’s dive deep into something super important for anyone navigating the world of breast cancer: the IHC panel for breast cancer . So, what exactly is an IHC panel? Well, IHC stands for Immunohistochemistry , and it’s a fancy but incredibly powerful technique used in pathology labs to help doctors understand the specific characteristics of breast cancer cells. Think of it as a microscopic detective mission where scientists use special antibodies to hunt for particular proteins on the surface or inside tumor cells. These proteins, often called biomarkers , act like unique fingerprints, giving us crucial clues about how the cancer is behaving and, most importantly, how it might respond to different treatments. When a biopsy is taken from a suspected breast tumor, a small sample of tissue is prepared and then exposed to these specially designed antibodies. If a particular protein is present in the cancer cells, the antibody will bind to it, and a chemical reaction will cause a color change, making the protein visible under a microscope. This isn’t just a general “is it cancer or not?” test; it’s about getting down to the nitty-gritty details of your specific cancer . It helps differentiate between various subtypes of breast cancer, which is absolutely critical because not all breast cancers are the same, and what works for one might not work for another. This precision medicine approach is revolutionary, ensuring that patients receive the most effective and personalized treatment strategy possible. Without the insights provided by an IHC panel, doctors would be flying blind, relying on more generic treatment protocols that might not be optimal for an individual’s unique disease. It truly is the cornerstone of modern breast cancer management, providing a roadmap for treatment decisions that can significantly impact patient outcomes. The process involves skilled pathologists meticulously examining these stained tissue samples, scoring the presence and intensity of these markers, which then translates into actionable information for oncologists. So, next time you hear about an IHC panel, you’ll know it’s a cutting-edge diagnostic tool, essential for tailoring treatment and giving patients the best fighting chance against this complex disease.

Why is the IHC Panel So Important in Breast Cancer Diagnosis?

Understanding the IHC panel for breast cancer is paramount, not just for doctors, but for patients too, because it directly impacts treatment and prognosis. You see, the IHC panel isn’t just another test; it’s a foundational diagnostic tool that empowers oncologists to craft highly personalized treatment plans . Historically, breast cancer treatment was often a one-size-fits-all approach, but thanks to advancements like IHC, we now recognize that breast cancer is a heterogeneous disease, meaning it has many different forms and behaviors. The specific results from an IHC panel—whether a tumor is Estrogen Receptor (ER) positive , Progesterone Receptor (PR) positive , HER2/neu positive , or triple-negative —dictate the entire treatment strategy. For example, if your tumor is ER-positive, it means its growth is fueled by estrogen, and doctors will likely recommend hormone therapy medications that block estrogen’s effects, like Tamoxifen or aromatase inhibitors. Without the IHC results, this targeted therapy wouldn’t be possible, and patients might undergo chemotherapy unnecessarily or miss out on a highly effective treatment option. Similarly, a positive HER2/neu result flags a more aggressive cancer but also opens the door to HER2-targeted therapies , such as Trastuzumab (Herceptin), which have dramatically improved outcomes for these patients. Conversely, if a tumor is “triple-negative,” meaning it lacks ER, PR, and HER2 receptors, it indicates a different biological pathway and typically requires chemotherapy, as hormone therapy and HER2-targeted drugs won’t be effective. Beyond guiding initial treatment, IHC results also provide prognostic information , helping doctors predict the likely course of the disease and the risk of recurrence. This information helps in making informed decisions about the intensity and duration of treatment. It truly transforms cancer care from a broad-spectrum approach to a highly individualized, precision medicine strategy , maximizing efficacy while minimizing unnecessary side effects. It’s about fighting your cancer with the right weapons, guys, and the IHC panel is the blueprint for that fight.

Key Markers in a Breast Cancer IHC Panel

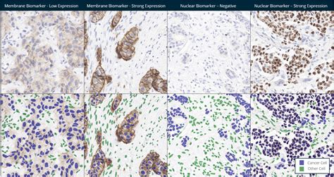
When we talk about the IHC panel for breast cancer , we’re really focusing on a handful of critical biomarkers that provide the most actionable information. These markers are like the key players in a team, each with a specific role in telling us about the tumor’s personality. Understanding what each of these markers signifies is crucial, not just for medical professionals, but for patients who want to be informed advocates for their own health. These aren’t just obscure scientific terms; they represent the targets that specific drugs aim for, and their presence or absence directly influences the therapeutic strategy. The IHC panel routinely tests for three primary markers: Estrogen Receptor (ER), Progesterone Receptor (PR), and HER2/neu, often supplemented by Ki-67. Each of these gives a unique piece of the puzzle, and together, they form a comprehensive picture of the tumor’s biological characteristics. The results for these markers are usually reported as positive or negative, often with a percentage or a score indicating the extent of their expression. This quantitative and qualitative data is then meticulously analyzed by pathologists and oncologists to determine the most appropriate course of action. It’s truly incredible how much information can be gleaned from such tiny tissue samples, all thanks to the specificity of immunohistochemistry. This detailed profiling is what allows for the nuances in breast cancer treatment today, moving away from generic solutions to highly tailored approaches that respect the individual biology of each patient’s tumor. Without these specific markers, the concept of targeted therapies and personalized oncology would be significantly limited, underscoring the indispensable role of the IHC panel in modern cancer management.

Estrogen Receptor (ER) and Progesterone Receptor (PR)

Okay, let’s talk about the Estrogen Receptor (ER) and Progesterone Receptor (PR) , two of the most significant markers in any IHC panel for breast cancer . Guys, these receptors are like little antennae on the surface or inside breast cancer cells that can pick up signals from the hormones estrogen and progesterone. If the cancer cells have a lot of these receptors, we say they are ER-positive or PR-positive , respectively. What does this mean? It means these hormones are essentially acting as fuel, helping the cancer cells grow and multiply. Think of it like a plant needing sunlight; if the tumor has these receptors, it’s essentially “feeding” on the hormones naturally circulating in your body. This discovery was a game-changer because it opened the door to hormone therapy (also known as endocrine therapy ). For patients with ER-positive or PR-positive breast cancer, doctors can prescribe medications like Tamoxifen, which blocks estrogen from binding to the receptors, or aromatase inhibitors, which reduce the body’s overall production of estrogen. By cutting off this “fuel supply,” these therapies can effectively slow down or even stop the growth of cancer cells, significantly improving prognosis and reducing the risk of recurrence. The higher the percentage of cells expressing ER and PR, the more likely the cancer is to respond to these targeted hormone therapies. Conversely, if a tumor is ER-negative and PR-negative , it means these hormones are not playing a significant role in its growth, and hormone therapy would not be an effective treatment option. In such cases, other strategies, like chemotherapy, would be pursued. The presence and level of ER and PR expression are determined by the IHC panel, and these results are absolutely fundamental in determining whether a patient is a candidate for hormone therapy, which is often a less toxic alternative to chemotherapy with excellent outcomes for suitable patients. So, understanding your ER and PR status is not just a piece of medical jargon; it’s a critical piece of information that directly dictates a major part of your treatment plan, helping to tailor the fight specifically to your tumor’s unique vulnerabilities.

HER2/neu (Human Epidermal Growth Factor Receptor 2)

Next up in our IHC panel for breast cancer deep dive is HER2/neu , or simply HER2 . This particular protein is another superstar in the world of breast cancer diagnostics, and its discovery and the development of targeted therapies against it have truly revolutionized how we treat a specific, often more aggressive, subtype of breast cancer. HER2 is a gene that makes HER2 proteins, which are receptors found on the surface of breast cells. These receptors play a crucial role in cell growth, division, and repair. However, in about 15-20% of breast cancers, there are too many copies of the HER2 gene, leading to an overexpression of HER2 proteins on the cancer cell surface. When this happens, we say the tumor is HER2-positive . Why is this a big deal? Well, HER2-positive breast cancers tend to be more aggressive, grow faster, and are more likely to spread compared to HER2-negative cancers. Sounds scary, right? But here’s the silver lining: because we know this, and because the IHC panel identifies these tumors, we have incredibly effective HER2-targeted therapies at our disposal. The most well-known of these is Trastuzumab (Herceptin), a monoclonal antibody that specifically latches onto the HER2 receptors on cancer cells, blocking their growth signals and even marking them for destruction by the immune system. Other HER2-targeted drugs include Pertuzumab, Lapatinib, and Neratinib, often used in combination or sequential therapies. Before the advent of these targeted treatments, HER2-positive breast cancer carried a significantly poorer prognosis. Now, with the proper identification through the IHC panel and subsequent targeted therapy, outcomes for HER2-positive patients have dramatically improved, often surpassing those of other breast cancer subtypes. The IHC panel will provide a score for HER2, typically ranging from 0 to 3+. A score of 3+ generally indicates HER2 overexpression, while a score of 0 or 1+ is considered HER2-negative. A score of 2+ is equivocal and usually requires further testing, like FISH (Fluorescence In Situ Hybridization), to confirm the HER2 status. So, for anyone with breast cancer, getting a clear picture of their HER2 status via the IHC panel is absolutely critical for determining if these powerful, life-saving targeted therapies are an option. It’s a prime example of how understanding the molecular biology of cancer, thanks to tools like IHC, directly leads to more effective and personalized treatments.

Ki-67

Let’s move on to another valuable player in the IHC panel for breast cancer : Ki-67 . Now, Ki-67 might not be as widely known as ER, PR, or HER2, but trust me, guys, it provides another critical piece of information for doctors trying to understand the nature of a breast tumor. Ki-67 is a protein that is present in cells only when they are actively dividing, or “proliferating.” Think of it as a marker for how fast the cancer cells are growing and multiplying. If a large percentage of cancer cells are expressing Ki-67, it indicates a high proliferation rate , meaning the tumor is growing and dividing rapidly. Conversely, a low Ki-67 percentage suggests a slower-growing tumor. The IHC panel assesses the percentage of cancer cells that stain positive for Ki-67. While there isn’t a universally agreed-upon cutoff value, a Ki-67 index (percentage) of less than 10% is generally considered low, 10-20% moderate, and above 20% often signifies a high proliferation rate. Some oncologists might even consider anything above 30% or more to be very high. Why is this important? A high Ki-67 index can be associated with a more aggressive tumor behavior and a higher risk of recurrence. This information helps doctors gauge the tumor’s biological aggressiveness, which can influence treatment decisions, especially regarding chemotherapy. For example, in certain ER-positive, HER2-negative breast cancers, a high Ki-67 index might lean an oncologist towards recommending chemotherapy in addition to hormone therapy, even if other factors suggest a lower risk. It essentially adds another layer of detail to the prognostic picture, helping to fine-tune the treatment strategy. While Ki-67 is a valuable prognostic marker, its role in directly predicting response to specific targeted therapies is less defined compared to ER, PR, or HER2. However, it’s increasingly being used in conjunction with other markers to stratify risk and guide treatment intensity. It helps distinguish between tumors that are “indolent” (slow-growing) and those that are “aggressive” (fast-growing), allowing for more nuanced clinical judgments. So, when you see your Ki-67 percentage on your IHC report , know that it’s a key indicator of the tumor’s growth speed, contributing significantly to the overall understanding of your breast cancer and helping your medical team make the most informed decisions for your care.

Understanding Your IHC Report: What Do the Results Mean?

Navigating your IHC report for breast cancer can feel like deciphering a secret code, but don’t sweat it, guys! Understanding what those results mean is absolutely crucial for you to be an active participant in your treatment journey. Your IHC report will typically present the status of each major marker we’ve discussed: ER, PR, HER2, and often Ki-67. For ER and PR, you’ll usually see a percentage (e.g., “ER positive, 85%” or “PR positive, 60%”) and possibly a qualitative statement like “strong and diffuse.” A higher percentage generally indicates a stronger expression and a better likelihood of response to hormone therapy. For HER2, the report will give a score, typically 0, 1+, 2+, or 3+. A score of 3+ is considered HER2-positive , meaning the tumor overexpresses HER2 and is a candidate for HER2-targeted therapies. A score of 0 or 1+ means HER2-negative , and these therapies won’t be effective. If the score is 2+, it’s considered equivocal or borderline , and further testing, like FISH (Fluorescence In Situ Hybridization), is needed to definitively confirm HER2 amplification at the genetic level. Finally, for Ki-67, you’ll see a percentage, which, as we discussed, indicates the tumor’s proliferation rate. A higher percentage suggests faster growth. The combination of these results defines your breast cancer subtype , which is the cornerstone of treatment planning. For instance, you might be HR+/HER2- (Hormone Receptor positive, HER2 negative) , which typically means hormone therapy is primary, with chemotherapy considered based on other risk factors. Or, you could be HER2+ (HER2 positive) , meaning HER2-targeted therapy will be a key part of your regimen. And then there’s Triple-Negative Breast Cancer (TNBC) , meaning ER-, PR-, and HER2-negative, which primarily relies on chemotherapy and emerging immunotherapies. Your oncology team will walk you through your specific IHC report , explaining what each finding means for your individual case and how it shapes the recommended treatment plan. Don’t be afraid to ask questions, no matter how small they seem. Understanding these results empowers you to have informed conversations with your doctors, make shared decisions, and ultimately, feel more in control of your treatment path. Remember, this report isn’t just numbers; it’s a personalized roadmap designed to give you the best possible outcome against breast cancer.

The Future of IHC in Breast Cancer Management

As we wrap up our deep dive into the IHC panel for breast cancer , let’s cast our eyes towards the horizon and explore the exciting future of this indispensable diagnostic tool. Guys, the field of breast cancer research is constantly evolving at a breathtaking pace, and IHC is no exception. While ER, PR, and HER2 remain the gold standards, researchers are continuously identifying new biomarkers that could provide even more granular insights into tumor biology and predict response to novel therapies. We’re seeing an increasing focus on developing and validating additional IHC markers that can help predict response to immunotherapy , for instance, or identify patients who might benefit from specific targeted agents that are still in clinical trials. For example, markers like PD-L1 are gaining traction, especially for triple-negative breast cancer, helping to determine eligibility for certain immune checkpoint inhibitors. The goal is always to refine our ability to personalize treatment even further, moving beyond the current subtypes to truly individualize care at a molecular level. Beyond identifying new markers, advancements in IHC technology itself are promising. We’re talking about digital pathology and artificial intelligence (AI) . Digital pathology involves scanning stained tissue slides to create high-resolution digital images, which can then be analyzed by pathologists remotely, shared easily for second opinions, and even processed by AI algorithms. These AI tools are being developed to assist pathologists in accurately scoring IHC stains, reducing inter-observer variability, and even identifying subtle patterns that might be missed by the human eye. This could lead to more consistent, accurate, and rapid IHC reporting , ultimately benefiting patients by accelerating treatment decisions. Furthermore, the integration of IHC data with other advanced diagnostic techniques, such as genomic profiling (next-generation sequencing) and liquid biopsies , is creating an even more comprehensive picture of each patient’s cancer. This multi-faceted approach allows oncologists to not only understand the protein expression but also the underlying genetic mutations driving the tumor, leading to truly holistic and precision oncology . The future of IHC in breast cancer management is one of increased precision, integration, and efficiency, all geared towards improving patient outcomes and making the fight against breast cancer more targeted and effective than ever before. So, while the current IHC panel is already incredibly powerful, rest assured that scientific innovation continues to push the boundaries, offering even greater hope for personalized and successful treatment strategies in the years to come.