Ischemic Stroke: How CT Scans Help Detect It

S.Dufferinbot 36 views
Ischemic Stroke: How CT Scans Help Detect It

Ischemic Stroke: How CT Scans Help Detect It

Hey guys! Let’s dive into the world of ischemic strokes and how CT scans play a super crucial role in spotting them early. We’re going to break down what an ischemic stroke is, why quick detection is key, how CT scans work, what they show, and their limitations. So, buckle up and get ready to learn!

What is an Ischemic Stroke?

An ischemic stroke is like a traffic jam in your brain. Imagine your brain cells need a constant supply of oxygen and nutrients to keep working. This supply comes through blood vessels. Now, imagine one of those vessels gets blocked – usually by a blood clot. When that happens, the part of the brain that the vessel feeds doesn’t get enough oxygen, and brain cells start to die. This is an ischemic stroke.

Think of it like a plant that’s not getting water. At first, it might just wilt a little. But if it doesn’t get water soon, it’ll start to dry out and eventually die. Similarly, brain cells without oxygen can suffer permanent damage really quickly. This can lead to all sorts of problems, like difficulty speaking, paralysis, or even death. There are different reasons why these blockages happen, such as clots forming in the heart and traveling to the brain (cardioembolic stroke) or clots forming in the brain’s blood vessels themselves (thrombotic stroke).

The quicker we can identify and treat an ischemic stroke, the better the chances of minimizing long-term damage. That’s where CT scans come in as invaluable tools. They allow doctors to see what’s going on inside the brain in real-time, helping them make quick decisions about the best course of action.

Why is Early Detection Crucial?

Time is brain! You’ve probably heard this saying before, and it’s super true when it comes to strokes. The longer an ischemic stroke goes untreated, the more brain cells die. And unfortunately, once brain cells die, they don’t usually come back. This can lead to permanent disabilities.

Imagine a firefighter rushing to put out a fire. The sooner they get there, the easier it is to control the blaze and minimize the damage. The same principle applies to stroke treatment. We have treatments like thrombolysis (using medications to dissolve the clot) and thrombectomy (physically removing the clot) that can be incredibly effective – but only if they’re administered quickly. For thrombolysis, it usually needs to be given within 4.5 hours of the stroke symptoms starting. For thrombectomy, it can be effective up to 24 hours in certain situations, but the sooner, the better.

That’s why early detection is so critical. The faster we can diagnose an ischemic stroke, the faster we can start treatment and potentially save brain cells. Recognizing the symptoms of a stroke is the first step. Symptoms like sudden numbness or weakness in the face, arm, or leg (especially on one side of the body), difficulty speaking or understanding speech, sudden vision changes, dizziness, or a severe headache that comes on suddenly are all red flags. If you or someone you know experiences these symptoms, it’s crucial to call emergency services immediately. Once the patient arrives at the hospital, a CT scan is often one of the first things done to determine if it’s an ischemic stroke or another type of stroke, like a hemorrhagic stroke (which is caused by bleeding in the brain and requires a different treatment approach).

How Does a CT Scan Work?

Okay, let’s get a bit technical but in a simple way! A CT scan , or computed tomography scan, is a type of X-ray that takes multiple images of your brain from different angles. Think of it like taking slices of a loaf of bread to see what’s inside.

The machine used in a CT scan looks like a big donut. You lie down on a table that slides into the hole in the middle. Inside the machine, an X-ray tube rotates around your head, sending beams of X-rays through your brain. Detectors on the other side of your head measure how much of the X-ray beam passes through. Different tissues in your brain absorb X-rays differently. For example, bone absorbs more X-rays than brain tissue.

All this information is then fed into a computer, which uses sophisticated algorithms to create detailed cross-sectional images of your brain. These images are displayed on a monitor, allowing doctors to see the structures of your brain in great detail. It’s super cool technology! These images help doctors differentiate between different types of strokes and rule out other conditions that might be causing similar symptoms. The whole process is usually quick, taking just a few minutes, which is essential in stroke diagnosis.

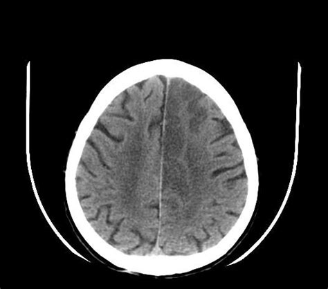
What Does a CT Scan Show in Ischemic Stroke?

In the early stages of an ischemic stroke , a CT scan might not show anything obvious. This is because it takes time for the brain tissue to change in a way that’s visible on a CT scan . However, there are subtle signs that radiologists (doctors who specialize in interpreting medical images) look for.

One of the earliest signs is called the “dense artery sign.” This is when a blood clot is seen directly within an artery in the brain. Another early sign is blurring of the gray-white matter interface. This means the normal distinction between the gray matter (the outer layer of the brain) and the white matter (the inner layer) becomes less clear. As time passes, the CT scan will show more obvious changes. The affected area of the brain may appear darker than the surrounding tissue. This is because the damaged brain tissue is less dense due to swelling and cell death. Eventually, the CT scan can show a clear area of infarction, which is the area of brain tissue that has died due to lack of blood flow.

It’s important to remember that the appearance of an ischemic stroke on a CT scan changes over time. What might be subtle in the first few hours can become much more obvious later on. That’s why radiologists often compare current CT scans with previous ones, if available, to look for any changes. The information from the CT scan is used to determine the extent of the stroke and guide treatment decisions.

Limitations of CT Scans

While CT scans are incredibly useful, they do have some limitations, especially in the early stages of an ischemic stroke . As mentioned earlier, the CT scan might appear normal in the first few hours after the stroke starts. This is because the changes in brain tissue haven’t had time to develop enough to be easily visible on the scan. This can be a challenge because early treatment is so important.

Another limitation is that CT scans are not as sensitive as MRI (magnetic resonance imaging) in detecting small strokes or strokes in certain areas of the brain. MRI uses magnetic fields and radio waves to create images of the brain, and it can often pick up subtle changes that CT scans miss. However, MRI takes longer to perform than a CT scan , and it’s not always available in all hospitals. Plus, some patients can’t have an MRI because they have metal implants in their bodies.

Despite these limitations, CT scans remain the first-line imaging test for suspected stroke patients because they are quick, readily available, and can effectively rule out other conditions, like a brain hemorrhage. If the CT scan is negative for an ischemic stroke but there’s still a strong suspicion of stroke, doctors may order additional tests, such as an MRI or CT angiography (CTA), which looks at the blood vessels in the brain. So, while CT scans aren’t perfect, they’re a vital tool in the initial evaluation of stroke patients.

In conclusion, CT scans are essential for the early detection and management of ischemic strokes. They provide valuable information about what’s happening inside the brain, helping doctors make quick decisions about treatment. While they have limitations, their speed and availability make them indispensable in the fight against stroke. Remember, time is brain, so recognizing stroke symptoms and getting to the hospital quickly is crucial!