Pseudoarthrosis Tibia X-Ray: What To Expect

S.Dufferinbot 136 views
Pseudoarthrosis Tibia X-Ray: What To Expect

Pseudoarthrosis Tibia X-Ray: What to Expect

Hey guys! Today we’re diving into something a bit technical but super important if you’re dealing with bone healing issues, specifically pseudoarthrosis of the tibia . You know, when a broken bone just doesn’t want to heal properly? Yeah, that’s essentially pseudoarthrosis, and when it happens in the tibia (that’s your shin bone, for the uninitiated), it can be a real pain in the you-know-what . But don’t worry, we’re going to break down what a pseudoarthrosis tibia X-ray looks like, what the docs are looking for, and why this imaging technique is so crucial in figuring out the best path forward. Understanding these X-rays can demystify the process and help you feel more in control of your treatment journey. We’ll cover everything from the tell-tale signs on the film to how these images guide surgical decisions. So, grab your favorite beverage, settle in, and let’s get this sorted!

Understanding Pseudoarthrosis: The Non-Union Nightmare

So, what exactly is pseudoarthrosis, especially when we talk about the tibia? Think of it as a failed healing of a bone fracture . Normally, when you break a bone, your body goes into superhero mode, creating new bone tissue to bridge the gap and make it whole again. It’s a pretty amazing process, involving a whole cascade of cellular events. But sometimes, for a bunch of reasons we’ll get into, this healing process gets interrupted or doesn’t complete. Instead of a solid bone, you end up with what’s called a “false joint” – hence, pseudoarthrosis (pseudo meaning false, and arthrosis referring to a joint). This false joint is unstable, painful, and definitely not what you want in your shin bone, which bears a ton of weight and is crucial for walking and pretty much everything else involving your legs. The tibia is particularly prone to this, especially after complex fractures, high-energy injuries (like car accidents or major falls), or if there’s been infection or poor blood supply to the area. It’s a significant complication that often requires surgical intervention to correct. The key takeaway here is that it’s not just a slow healing fracture; it’s a fracture that has stopped healing and, in many cases, has formed fibrous tissue and even some fluid-filled cavities at the fracture site, mimicking a joint.

What Makes the Tibia Prone to Pseudoarthrosis?

The tibia, guys, it’s a tough bone, but it’s also in a bit of a vulnerable spot. Being a long bone located relatively close to the skin, it’s often exposed in high-impact injuries. Poor blood supply is a major player here. The tibia doesn’t have a thick muscle layer surrounding it like, say, the femur. This means its blood supply is more tenuous, and if that gets disrupted during a fracture – which is common in severe breaks – the bone cells don’t get the oxygen and nutrients they need to heal. Think of it like trying to grow a plant without water; it’s just not going to happen. Open fractures , where the bone breaks through the skin, are also a big red flag. These introduce the risk of infection, which is an absolute enemy of bone healing. Bacteria can invade the fracture site, releasing toxins and inflammatory substances that completely halt the bone-building process. Delayed or inadequate immobilization is another culprit. If the broken bone ends aren’t held still enough, or for long enough, the fragile new bone that’s trying to form gets disrupted repeatedly. Imagine trying to build a Lego tower while someone keeps shaking the table – frustrating, right? The body essentially gets stuck in an inflammatory phase instead of progressing to the healing phase. Finally, smoking is a massive contributor. Nicotine constricts blood vessels, severely limiting blood flow and oxygen delivery to the healing bone. Certain medical conditions like diabetes or peripheral vascular disease can also impair healing. So, it’s a combination of the bone’s anatomy, the nature of the injury, and potentially the patient’s overall health and habits that can tip the scales towards pseudoarthrosis.

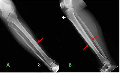
The Star of the Show: Pseudoarthrosis Tibia X-Ray

Alright, let’s get to the main event: the pseudoarthrosis tibia X-ray. This is the go-to imaging tool for docs trying to figure out if you’ve got this non-union thing going on. When they suspect pseudoarthrosis, the standard X-ray is usually the first step, and often, it’s enough to give them a pretty good idea. What are they actually looking for on these films, you ask? They’re hunting for signs that the bone hasn’t knitted back together . A healthy fracture healing will show progressive callus formation – that’s new bone trying to bridge the gap. In pseudoarthrosis, you’ll often see a clear gap between the broken bone ends, and instead of solid bone bridging it, there might be fibrous tissue or even cystic changes in the bone ends. Sometimes, the bone ends can become rounded off and sclerotic (that means hardened and denser) because they’re not being used properly, and the body’s trying to adapt to the instability. Another key indicator is motion at the fracture site . While you can’t directly see motion on a static X-ray, the consequences of that motion are visible. You might see widening of the fracture line over time, or displacement of the bone fragments that wouldn’t happen if the bone were solidly healed. They’ll also look at any hardware – like screws, plates, or rods – that might have been put in during initial surgery. Is the hardware intact? Is it loose? Is there any sign of infection around it (like bone resorption or bone spurs)? The X-ray is basically a detective’s magnifying glass, revealing clues about the past injury and the body’s current, failed attempt at repair. It’s essential to compare current X-rays with previous ones if available, as this allows the radiologist and orthopedic surgeon to track the progression (or lack thereof) of healing over time. This comparison is vital in confirming a diagnosis of pseudoarthrosis, as a single X-ray might not always be definitive, especially in the early stages of non-union.

What Radiologists Look For on a Pseudoarthrosis Tibia X-Ray

Radiologists are like the skilled detectives of the medical world when it comes to interpreting X-rays. For a pseudoarthrosis tibia X-ray , they’re scrutinizing the image with a fine-tooth comb. The primary goal is to identify lack of bony union . This means they’re looking for a distinct gap between the fractured bone ends. In a successfully healing fracture, this gap would be filled with callus, a new bone formation that gradually ossifies. In pseudoarthrosis, this callus is either absent, inadequate, or has failed to mature into solid bone. They will specifically look for atrophic changes , which means the bone ends are thin, pointed, or have lost their normal shape due to disuse and lack of stability. Conversely, they might see hypertrophic changes , where the bone attempts to heal by forming excessive, often disorganized, bone spurs (callus) around the ends, but these spurs don’t actually bridge the gap. This is often called