Pulmonary Interstitial Edema: Understanding ICD-10 Codes

S.Dufferinbot 146 views
Pulmonary Interstitial Edema: Understanding ICD-10 Codes

Pulmonary Interstitial Edema: Understanding ICD-10 Codes

Hey guys! Let’s dive into pulmonary interstitial edema and the ICD-10 codes associated with it. If you’re working in healthcare, or just trying to understand a diagnosis, knowing these codes is super important. We’ll break it down in a way that’s easy to grasp, so you can confidently navigate this topic. Understanding the nuances of pulmonary interstitial edema and its corresponding ICD-10 codes is essential for accurate diagnosis, effective treatment planning, and proper medical billing. This article aims to provide a comprehensive overview of pulmonary interstitial edema, its causes, symptoms, diagnostic methods, and the specific ICD-10 codes used to classify this condition. Whether you’re a healthcare professional, a medical coder, or simply someone interested in learning more about this respiratory ailment, this guide will offer valuable insights and practical information. So, let’s get started and unravel the complexities of pulmonary interstitial edema and its coding intricacies. By the end of this discussion, you’ll have a solid understanding of how this condition is identified, classified, and managed within the healthcare system.

What is Pulmonary Interstitial Edema?

Pulmonary interstitial edema is basically what happens when fluid builds up in the interstitium of your lungs—that’s the space between the air sacs (alveoli) and the blood vessels. It’s not the same as pulmonary edema, where the fluid is in the air sacs themselves. Interstitial edema is often an early stage of pulmonary edema, and it can lead to serious breathing problems if it’s not treated. The interstitium, a network of tissue that supports the lungs, plays a crucial role in gas exchange. When fluid accumulates in this space, it interferes with the efficient transfer of oxygen from the air sacs to the bloodstream, leading to shortness of breath and other respiratory symptoms. Pulmonary interstitial edema can be caused by various factors, including heart conditions, kidney problems, and lung injuries. Recognizing the early signs of this condition is vital for prompt intervention and prevention of further complications. This condition highlights the delicate balance required for healthy lung function and the importance of maintaining fluid balance in the body. Early diagnosis and appropriate management are essential to prevent the progression to more severe forms of pulmonary edema and to ensure optimal respiratory health.

Common Causes of Pulmonary Interstitial Edema

So, what causes pulmonary interstitial edema ? Several things can lead to this condition. Heart failure is a big one because when your heart isn’t pumping efficiently, fluid can back up into the lungs. Kidney problems can also cause it since the kidneys help regulate fluid balance in the body. Other causes include lung infections, exposure to toxins, and certain medications. Let’s break down some of the main culprits:

  • Heart Failure: When the heart is unable to pump blood effectively, it can lead to increased pressure in the blood vessels of the lungs, causing fluid to leak into the interstitium.
  • Kidney Problems: Kidney dysfunction can result in fluid overload, which can then lead to fluid accumulation in the lungs.
  • Lung Infections: Infections like pneumonia can damage the lung tissue and cause inflammation, leading to fluid leakage.
  • Exposure to Toxins: Inhaling harmful substances can irritate the lungs and cause fluid to build up in the interstitial space.
  • Certain Medications: Some medications can have side effects that contribute to fluid retention and pulmonary edema.

Understanding these causes is super helpful for doctors in diagnosing and treating the condition effectively. Identifying the underlying cause allows for targeted treatment strategies to address the root of the problem and prevent further fluid accumulation in the lungs.

Symptoms to Watch Out For

Okay, so how do you know if you might have pulmonary interstitial edema ? The symptoms can vary, but some common ones include shortness of breath, especially when you’re active or lying down. You might also experience a persistent cough, wheezing, and fatigue. Some people may also have swelling in their ankles and feet. Recognizing these symptoms early can help you get the treatment you need sooner rather than later.

  • Shortness of Breath: This is often the most noticeable symptom, especially during physical activity or when lying flat.
  • Persistent Cough: A cough that doesn’t go away, sometimes producing frothy or blood-tinged sputum, can be a sign of fluid in the lungs.
  • Wheezing: A whistling sound when you breathe can indicate narrowed airways due to fluid accumulation.
  • Fatigue: Feeling unusually tired or weak can be a symptom of reduced oxygen levels in the blood.
  • Swelling in Ankles and Feet: This can occur due to fluid retention in the body, often associated with heart or kidney problems.

If you’re experiencing any of these symptoms, it’s crucial to see a doctor to get a proper diagnosis and treatment plan. Early intervention can help prevent the condition from worsening and improve your overall quality of life.

Diagnosing Pulmonary Interstitial Edema

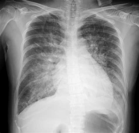
So, how do doctors figure out if you have pulmonary interstitial edema ? They usually start with a physical exam, listening to your lungs with a stethoscope. They might also order some tests, like a chest X-ray, which can show fluid in the lungs. A CT scan can provide more detailed images. Blood tests can help identify underlying conditions like heart or kidney problems. An echocardiogram can assess your heart function. These tests help give the doctor a clear picture of what’s going on. Here’s a quick rundown:

  • Physical Exam: Listening to the lungs for abnormal sounds, such as crackles or wheezing.
  • Chest X-Ray: This imaging test can reveal fluid accumulation in the lungs and identify other potential causes of respiratory distress.
  • CT Scan: A more detailed imaging technique that can provide a clearer view of the lungs and surrounding structures.
  • Blood Tests: These tests can help assess kidney function, measure electrolyte levels, and identify markers of heart failure.
  • Echocardiogram: An ultrasound of the heart to evaluate its structure and function, helping to determine if heart problems are contributing to the edema.

Getting the right diagnosis is the first step toward effective treatment, so don’t hesitate to seek medical attention if you’re concerned about your symptoms.

ICD-10 Codes: The Key to Classification

Alright, let’s talk about ICD-10 codes . These are used to classify and code diagnoses, symptoms, and procedures. For pulmonary interstitial edema , there isn’t one single, specific ICD-10 code. Instead, the code used will depend on the underlying cause of the edema. For example, if it’s caused by heart failure, you’d use the ICD-10 code for heart failure with pulmonary edema. If it’s due to kidney disease, you’d use the code for kidney disease with pulmonary manifestations. It’s all about finding the root cause! Here’s why this is so important:

  • Accurate Billing: Proper coding ensures that healthcare providers are accurately reimbursed for the services they provide.
  • Data Collection: ICD-10 codes allow for the collection of standardized data, which can be used for research and public health purposes.
  • Effective Communication: Using these codes facilitates clear communication between healthcare providers, ensuring that everyone is on the same page regarding a patient’s diagnosis and treatment plan.
  • Understanding the Specificity: Different codes reflect different underlying causes, which is vital for proper treatment.

While there isn’t a single code for pulmonary interstitial edema , here are some related codes you might encounter, depending on the cause:

  • I50.9: Heart failure, unspecified. (If heart failure is the cause)
  • E87.70: Fluid overload, unspecified. (If fluid overload is the cause)
  • J81: Pulmonary edema. (General code for pulmonary edema, but may be used if interstitial edema progresses)
  • K76.6: Hepatic-pulmonary syndrome (related to liver disease)

It’s essential to consult the ICD-10 manual or an experienced coder to determine the most accurate code based on the specific circumstances of each case. The right code ensures accurate billing and helps track the prevalence of different conditions.

Treatment Options for Pulmonary Interstitial Edema

So, what can be done about pulmonary interstitial edema ? Treatment depends on the underlying cause. If it’s heart failure, treatment will focus on improving heart function with medications like diuretics to remove excess fluid, and ACE inhibitors or beta-blockers to manage blood pressure. If kidney problems are the cause, treatment will address the kidney dysfunction. Oxygen therapy can help improve breathing. In severe cases, mechanical ventilation may be necessary. Here’s a breakdown:

  • Diuretics: These medications help the body get rid of excess fluid through urination.
  • ACE Inhibitors and Beta-Blockers: These medications can help improve heart function and lower blood pressure.
  • Oxygen Therapy: Providing supplemental oxygen can help improve breathing and increase oxygen levels in the blood.
  • Mechanical Ventilation: In severe cases, a ventilator may be needed to support breathing until the underlying condition can be treated.

Working closely with your healthcare team is key to developing an effective treatment plan tailored to your specific needs.

Prevention Strategies

Can you prevent pulmonary interstitial edema ? In some cases, yes! Managing underlying conditions like heart failure, kidney disease, and diabetes is crucial. Following a healthy lifestyle, including a balanced diet, regular exercise, and avoiding smoking, can also help. Monitoring your fluid intake and weight can be beneficial, especially if you have heart or kidney problems. Here are some proactive steps you can take:

  • Manage Underlying Conditions: Keeping conditions like heart failure and kidney disease under control can help prevent fluid buildup in the lungs.
  • Healthy Lifestyle: A balanced diet, regular exercise, and avoiding smoking can promote overall health and reduce the risk of pulmonary edema.
  • Monitor Fluid Intake: If you have heart or kidney problems, your doctor may recommend limiting your fluid intake to prevent fluid overload.
  • Regular Check-ups: Regular visits to your doctor can help detect early signs of problems and allow for timely intervention.

Taking these steps can significantly reduce your risk and improve your overall well-being.

The Importance of Accurate Coding

Accurate coding with ICD-10 is super important for so many reasons. It affects billing, data collection, and communication between healthcare providers. Using the correct codes ensures that hospitals and doctors get paid properly for their services. It also helps track health trends and allocate resources effectively. Plus, it ensures everyone is on the same page when it comes to a patient’s diagnosis and treatment. Here’s a quick look at why it matters:

  • Proper Reimbursement: Accurate coding ensures that healthcare providers are fairly compensated for the services they provide.
  • Data Analysis: Standardized coding allows for the collection of data that can be used to identify trends, track disease outbreaks, and improve public health.
  • Effective Communication: Using the correct codes helps ensure that all members of the healthcare team understand a patient’s diagnosis and treatment plan.
  • Resource Allocation: Accurate data helps healthcare organizations allocate resources effectively, ensuring that they have the staff and equipment they need to provide quality care.

Final Thoughts

So, there you have it! Pulmonary interstitial edema and its ICD-10 codes can seem a bit complex, but hopefully, this breakdown has made it easier to understand. Remember, early diagnosis and proper management are key to preventing serious complications. If you think you might be at risk or are experiencing symptoms, don’t hesitate to reach out to your doctor. And for those in the healthcare field, accurate coding is essential for providing the best possible care and ensuring proper reimbursement. Stay healthy, guys! Understanding pulmonary interstitial edema and its ICD-10 codes is crucial for effective healthcare management. From accurate diagnosis and billing to effective treatment planning and data analysis, a thorough understanding of this condition and its coding intricacies is essential for healthcare professionals, medical coders, and anyone involved in patient care. By staying informed and up-to-date, we can all contribute to improving patient outcomes and ensuring the delivery of high-quality healthcare. Keep learning, stay informed, and continue to make a positive impact on the lives of those around you.